Treatment Case

전국과 해외에서도 찾는 치과

이제 은평구를 넘어 전국에서,
심지어 해외에서도 저희 치과를 찾아주십니다.

무절개임플란트 치료사례

2025-03-17

07388c8b8b6ab.png

▲ 치료 전

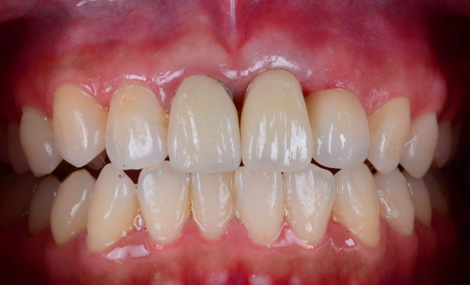
185bb52c2ca22.png

▲ 치료 후


C/S Center (평일 10:00 - 17:00)

02-386-2727

상호 : 서울금플란트치과 / 대표 : 임형민 / 사업자번호 : 110-92-1820
주소 : 서울특별시 은평구 서오릉로 151 3층(구산동)

대표번호 : 02.386.2727   /   팩스번호 : 000

이메일 : help@goldplant.co.kr

COPYRIGHT (C) 서울금플란트치과 All Rights Reserved.

상호 : 서울금플란트치과   /   대표 : 임형민   /   사업자등록증번호 : 110-92-18200
주소 : 서울특별시 은평구 서오릉로 151 3층(구산동)

대표번호 : 02.386.2727   /   팩스번호 : 02.386.2728   /   이메일 : help@goldplant.co.kr

COPYRIGHT (C) 서울금플란트치과 All Rights Reserved.