Treatment Case
치료사례
전국과 해외에서도 찾는 치과
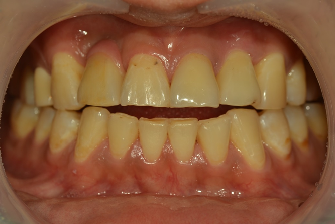
▲ 치료 전
▲ 치료 후
C/S Center (평일 10:00 - 17:00)
02-386-2727
상호 : 서울금플란트치과 / 대표 : 임형민 / 사업자번호 : 110-92-1820주소 : 서울특별시 은평구 서오릉로 151 3층(구산동)
대표번호 : 02.386.2727 / 팩스번호 : 000
이메일 : help@goldplant.co.kr
COPYRIGHT (C) 서울금플란트치과 All Rights Reserved.
상호 : 서울금플란트치과 / 대표 : 임형민 / 사업자등록증번호 : 110-92-18200주소 : 서울특별시 은평구 서오릉로 151 3층(구산동)
대표번호 : 02.386.2727 / 팩스번호 : 02.386.2728 / 이메일 : help@goldplant.co.kr
▲ 치료 전

▲ 치료 후